페이스 온다 리프팅
처짐은 올리고, 불필요한 부피는 정제하는
프리미엄 컨투어 리모델링
리프팅을 넘어, 얼굴의 밀도를 다시 설계하다
두 가지 효과를 한번에
리프팅과 지방감소,
두 가지 효과를 한번에
차세대 극초단파 리프팅
얼굴을 작게 만드는 것이 목적이 아닙니다.
과한 지방을 제거하는 것이 아니라,
얼굴의 균형과 밀도를 정제하는 것입니다.
FACE ONDA는 극초단파 에너지를 이용해
피부 탄력과 윤곽을 동시에 디자인하는
하이엔드 리프팅 솔루션입니다.
#Contour Refinement #Volume Balance #Skin Density Recovery
2가지 Depth로
맞춤 시술이 가능한
듀얼 핸드피스
7mm와 12mm 두 가지 깊이의 핸드피스로
진피층부터 지방층까지 선택적 에너지 전달
피부 상태에 따른 1:1 맞춤 디자인으로
정교하게 시술하여 최상의 결과를 만듭니다.
Only ONDA Lifting
오직 온다 리프팅에서만
경험할 수 있는 기술력
기존 고주파(RF)·초음파(HIFU)와는 완전히 다른
이탈리아 DEKA사의 특허 극초단파 기술

세계 최초 Coolwaves™ 기술
2.45GHz 극초단파 + 특허 쿨링 시스템으로 피부 깊은 층에 에너지를 전달하면서 표피를 보호하는 완전히 새로운 리프팅 방식

에너지 80% 진피층 직접 전달
표피 에너지 손실 거의 없이 투과하여 진피·지방층에만 선택적으로 집중 표피 손상 없는 안전한 시술

리프팅 + 지방감소 동시 효과
콜라겐 수축으로 즉각 타이트닝과 지방세포 사멸을 동시에 유도하는 온다만의 이중 효과

무통증 · 제로 다운타임
시술 중 온도 센서가 실시간 피부 온도를 감지하여 마취 없이 편안한 시술. 붓기·멍 없이 즉시 일상 복귀
페이스 온다 리프팅 효과
맞춤 시술 설계부터 시술 후 지속적인 피부 개선까지
지우개의원의 온다 리프팅이 만들어가는 변화의 과정입니다.

피부층별 1:1 시술 디자인
개인별 피부 상태와 고민 부위에 따라 맞춤 시술 계획 수립

즉각적인 리프팅 & 타이트닝 체감
시술 직후부터 느껴지는 피부 탄력과 윤곽 변화

지속적인 콜라겐 리모델링
즉각적인 효과 + 6개월~1년간 점진적 개선 효과
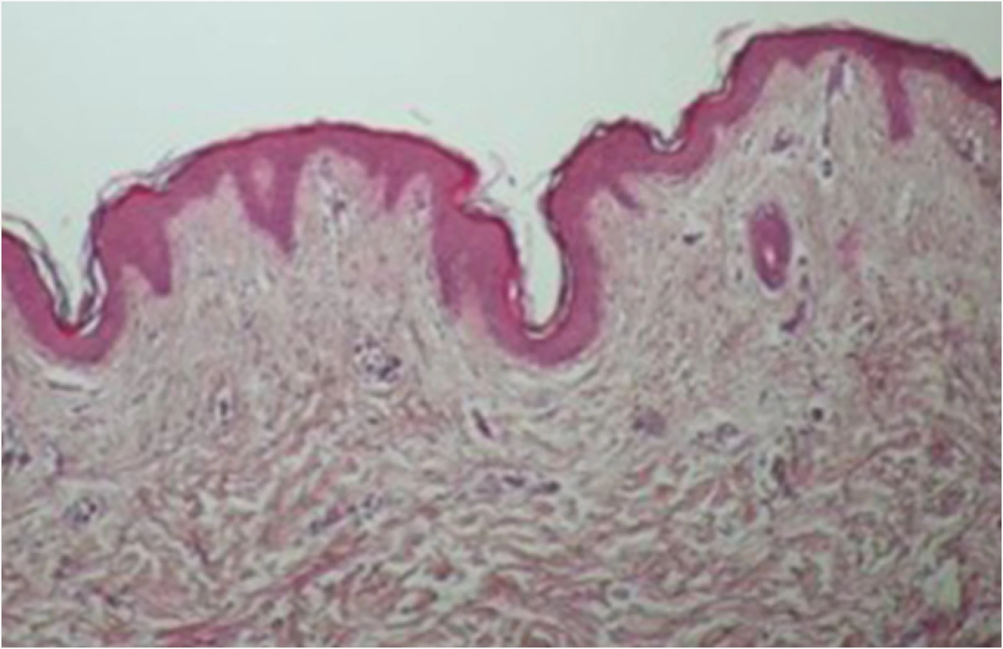
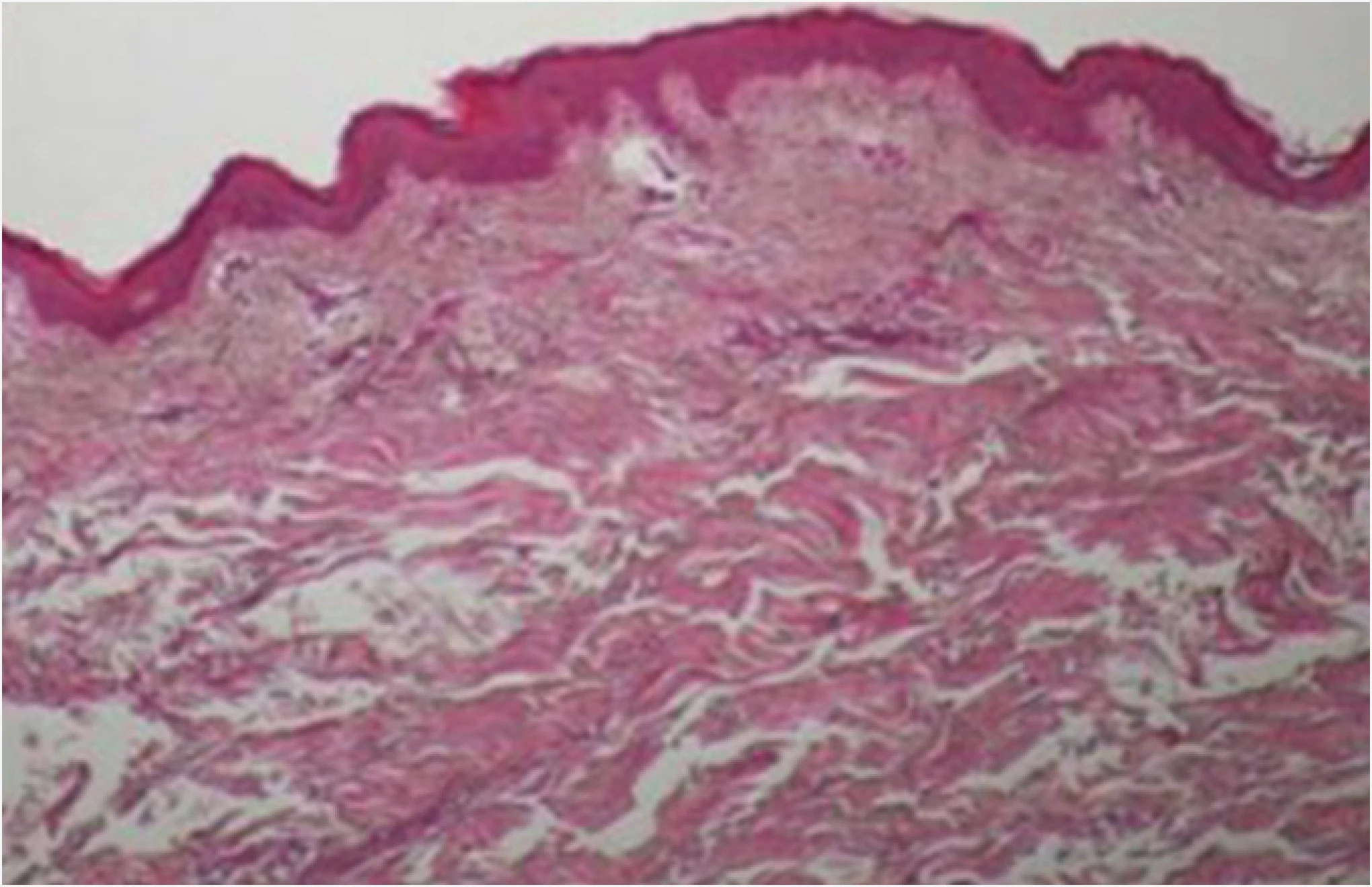
눈으로 직접 확인하는 ONDA 리프팅
콜라겐 활성의 변화
ONDA 시술 후 진피의 콜라겐이 활성화 되었음을 알 수 있고,
ONDA의 에너지가 열로 변환되면서 늘어져 있던 콜라겐을 수축시키고
리모델링을 통해 스킨 타이트닝과 리프팅 효과가 동시에 있음을 확인할 수 있습니다.

시술 전

시술 후
Key Benefits
페이스 온다 리프팅 POINT
- 리프팅 + 지방감소 복합 효과
- 즉각적인 리프팅 효과
- Coolwaves™ 쿨링 시스템으로 통증 최소화
- 붓기, 멍 없이 즉시 일상생활 가능
- 짧은 시술 시간
- 시술 직후부터 시간이 지날수록 효과 극대화
Recommended For
페이스 온다 리프팅
이런 분들께 추천해 드립니다
피부 탄력 저하가
시작된 분
다른 리프팅 시술
통증이 걱정되는 분
시술 후 바로
일상 복귀가 필요한 분
Treatment Details
시술 정보
페이스 온다 리프팅에 대한
시술 정보를 확인하세요
시술 시간
10~30분
마취 방법
마취 없음
회복 기간
즉시 일상생활
권장 횟수
3~5회
시술 전후 주의사항
- 세안 및 샤워는 시술 후 당일 가능하며, 스크럽 각질 제거처럼 문질러서 자극될 수 있는 것은 피해주세요.
- 시술 후 열감 때문에 건조해질 수 있으며, 재생크림 및 수분크림, 자외선 차단제로 관리해 주세요.
- 시술 후 일시적으로 홍조, 열감, 가려움, 두드러기, 통증, 건조함이 생길 수 있습니다. 개인적인 차이는 있으나, 일반적으로 3-7일 이내 사라집니다.
- 냉찜질 또는 사우나와 과음은 3일 정도 피해주세요.
- 강한 압이 들어가는 마사지는 일주일 정도 피해주세요.
How It Works
시술 과정
페이스 온다 리프팅에 대한
시술 과정을 확인하세요
첫 번째, 진료
지우개의원 전문의와 상담
두 번째, 계획
적합한 시술 일정 계획
세 번째, 시술
시술진행 및 관리체크
네 번째, 경과관찰
전문의의 경과관찰
FAQ
자주 묻는 질문
온다 리프팅은 아픈가요?
통증이 거의 없어 마취 없이 진행 가능합니다. Coolwaves™ 쿨링 시스템으로 열감도 최소화됩니다.
다른 리프팅과 무엇이 다른가요?
온다는 극초단파를 사용하는 유일한 리프팅으로, 리프팅과 지방감소 효과를 동시에 볼 수 있습니다.
효과는 언제부터 나타나나요?
시술 직후 즉각적인 효과가 있으며, 2~3개월간 콜라겐 재생으로 점진적 개선됩니다.
볼 패임이 생길 수 있나요?
시술 전 디자인 시 패임 부위를 피해 진행하므로 걱정하지 않으셔도 됩니다.
몇 회 시술이 권장되나요?
개인 피부 상태에 따라 3~5회를 권장드리며, 2~4주 간격으로 진행합니다.